Mụn rộp sinh dục ở nam: Dấu hiệu, Nguy hiểm và Cách khắc phục
13/10/2025
Lượt xem: 5171
Nam giới thường có đời sống tình dục phóng khoáng hơn nữ giới, do đó nguy cơ mắc các bệnh xã hội thường ở tỉ lệ cao trên 60%, một trong những bệnh xã hội thường mắc phải đó là mụn rộp sinh dục. Bệnh rất nguy hiểm, cần thăm khám và hỗ trợ điều trị đúng cách. Để nắm rõ hơn về bệnh hãy cùng tìm hiểu ngay qua bài chia sẻ sau đây.

Dấu hiệu nhận biết mụn rộp sinh dục ở dương vật nam giới
Mụn rộp sinh dục nam hay còn gọi là Herpes sinh dục nam, đây là nhóm bệnh xã hội lây nhiễm qua đường tình dục do virus HSV gây ra với đặc điểm chính là khó tiêu diệt nếu đã ăn sâu vào cơ thể.
Sau đây là các dấu hiệu để nhận biết mụn rộp sinh dục ở dương vật của nam giới:
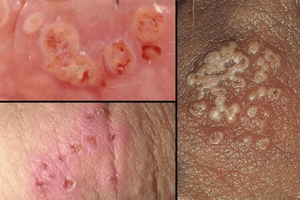
★ Giai đoạn cấp tính:
– Thời gian ủ bệnh: từ 2 – 7 ngày, người bệnh sẽ có cảm giác ngứa râm ran, bỏng rát kèm đau nhức ở bộ phận sinh dục.
– Tiếp đến là xuất hiện những nốt mụn nhỏ li ti ở dương vật.
– Có các triệu chứng: đau đầu, sốt, mệt mỏi, đau cơ toàn thân,…

Dấu hiệu mụn rộp sinh dục cấp tính
★ Giai đoạn mãn tính:
– Những nốt mụn li ti xuất hiện ở dương vật nếu không được khắc phục và chữa trị sớm thì chúng sẽ hình thành nên mụn nước dương vật, có mủ, sưng và ửng đỏ.
– Các mụn nước sẽ mọc liên kết thành một cụm hoặc thành từng chùm, khi cọ xát sẽ vỡ ra gây lở loét, bội nhiễm, ngứa rát và đau đớn cho người bệnh. Sau đó, những vết loét sẽ khô từ từ, đóng vảy và lành lặn. Hiện tượng này cứ tái diễn nhiều lần gây khó khăn trong sinh hoạt hằng ngày của bệnh nhân.
– Bên cạnh đó, người bệnh còn có những biểu hiện bệnh khác như: quan hệ tình dục đau rát, giảm khoái cảm, sưng hạch ở háng, đi tiểu buốt, tiểu rắt nhiều lần trong ngày, nặng hơn có thể đi tiểu ra máu hoặc dịch mủ.
Dấu hiệu mụn rộp sinh dục mãn tính
Bạn đang gặp biểu hiện nổi mụn rộp sinh dục. Đừng lo lắng, hãy nhấn vào bảng chat bên dưới để được chuyên gia tư vấn cụ thể.
Mụn rộp sinh dục có nguy hiểm không?
Các chuyên gia cho biết, mụn rộp sinh dục dương vật nếu kéo dài và không được hỗ trợ điều trị kịp thời có thể gây ra các tác hại nguy hiểm như:
– Gây lở loét dương vật, đau đớn. Nếu để lâu không điều trị thì sẽ gây nên các bệnh viêm nhiễm nam khoa ảnh hưởng đến sức khỏe, chất lượng tinh trùng và dẫn đến vô sinh – hiếm muộn ở nam giới, thậm chí có thể gây nên các bệnh ung thư ảnh hưởng tính mạng của bệnh nhân.
– Virus HSV còn có khả năng di chuyển vào đường máu gây nên tình trạng viêm màng não, viêm đường hô hấp,… khiến cho người bệnh có nguy cơ tử vong khá cao.
– Bệnh rất dễ lây lan cho người thân, bạn tình, vợ, con cái. Đặc biệt, phụ nữ mang thai bị lây nhiễm bệnh từ chồng có thể lây nhiễm sang cho thai nhi gây sinh non, sảy thai hoặc trẻ sinh ra sẽ mắc các dị tật bẩm sinh.

Biến chứng nguy hiểm của bệnh mụn rộp sinh dục
Để phòng tránh các biến chứng nguy hiểm, khi phát hiện nhiễm Herpes sinh dục bạn cần đến ngay cơ sở y tế uy tín để được bác sĩ chuyên khoa khám và điều trị kịp thời.
Chữa mụn rộp sinh dục bằng cách nào? chi phí bao nhiêu? Bạn hãy gọi đến Hotline: 0220 6565666 hoặc nhấn vào BẢNG CHAT bên dưới để được chuyên gia tư vấn miễn phí.
Điều trị mụn rộp sinh dục ở dương vật nam giới hiệu quả
Với nhiều năm kinh nghiệm trong lĩnh vực khám chữa bệnh xã hội Phòng khám đa khoa Hải Dương (236 Trường Chinh, Phường Lê Thanh Nghị, TP Hải Phòng) đã xây dựng liệu trình hỗ trợ điều trị mụn rộp sinh dục nam an toàn, hiệu quả được các chuyên gia đánh giá cao như sau:
➤ Điều trị bằng thuốc: Bao gồm cả dạng uống kết hợp kem bôi, có tác dụng giảm cảm giác khó chịu, nóng rát ở bộ phận sinh dục miệng, các vết lở nhanh lành, đóng vảy, không thể lại sẹo. Đồng thời tăng cường hệ miễn dịch, ngăn ngừa tái phát.
Lưu ý: Người bệnh nên điều trị tích cực theo hướng dẫn của chuyên gia chuyên khoa và nên tái khám khi thực hiện hết liệu trình điều trị để chắc chắn bệnh khỏi. Không nên tự ý mua thuốc uống/ bôi khiến da bị kích ứng, viêm, bội nhiễm và tái phát nhiều lần.
➤ Điều trị bằng công nghệ miễn dịch gene sinh học INT: Nhằm ức chế sự phát triển của virus gây bệnh từ bên trong, phục hồi hệ thống niêm mạc bị tổn thương từ đó giải quyết bệnh một cách hiệu quả, hạn chế tái phát.
⇒ Ưu điểm của phương pháp:

Điều trị nhanh chóng khoảng chừng 20 phút, không cần nằm viện
Không gây đau đớn, không xâm lấn, không để lại sẹo
Hiệu quả, bảo vệ an toàn sức khỏe sinh sản
Loại trừ khả năng bệnh tái phát, hạn chế tác dụng phụ.

Ưu điểm của phương pháp
Ngoài ứng dụng phương pháp chữa bệnh hiệu quả Phòng khám đa khoa Hải Dương còn được đông đảo bệnh nhân chọn đến khám bởi:
Phòng khám luôn đi đầu trong công tác đầu tư về cơ sở vật chất, trang thiết bị hiện đại.
Thủ tục thăm khám đơn giản, nhanh chóng, đảm bảo bảo mật khi áp dụng mô hình khoa học “1 bác sĩ – 1 người bệnh”.
Tất cả chi phí điều trị mụn rộp sinh dục hợp lý, rõ ràng và công khai theo đúng quy định của cơ quan quản lý.
Phòng khám có các bác sĩ nữ chuyên hỗ trợ thăm khám các bệnh xã hội nên các chị em phụ nữ có thể thoải mái và không cần phải e ngại.
07:30 - 19:30, có khám chữa bệnh cả T7-CN. Không tăng phí khám ngoài giờ.
Xuyên suốt thời gian qua Phòng khám đa khoa Hải Dương đã hỗ trợ khám và điều trị thành công cho rất nhiều người bệnh. Nếu như lựa chọn bạn có thể yên tâm về cơ sở.
Hy vọng qua những chia sẻ trên đây sẽ giúp người bệnh hiểu rõ hơn về bệnh. Nếu còn thắc mắc cần được giải đáp hoặc muốn đăng ký lịch thăm khám sớm, xin vui lòng liên hệ theo số Hotline: 0220 6565666 hoặc Nhấn vào BẢNG CHAT để được tư vấn chi tiết và miễn phí.

GỢI Ý: Bệnh lý và mức độ bệnh ở mỗi người đều khác nhau nên bài viết chỉ mang tính chất tham khảo không phải giải pháp tối ưu. Nếu cơ thể có dấu hiệu bất thường hãy đến PHÒNG KHÁM để chuyên gia – bác sĩ tham vấn kỹ càng và chính xác.